当院の症例紹介
噛み合わせ治療・
顎関節症治療の症例集
症例1. インプラントや矯正を
含めた全顎的な咬合治療
| 術前 |
|---|
![]() |
| 術後 |
|---|
![]() |
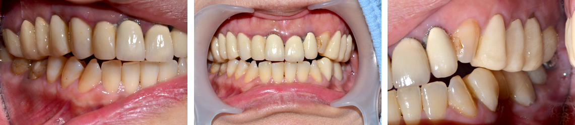
年齢:36歳
主訴:歯が痛い
初診時の診断と治療方針
初診時の口腔内写真です。主訴の歯の痛みは、斜めに生え噛む面が虫歯になっている右下親知らずであることが分かります。また、その他の部位にも多くの修復物や歯列の乱配を認め、う蝕と歯周病共にリスクが高いことが考えられます。
さらに、歯列の乱配だけでなく傾斜、はまり込みを認めます。 X線写真では全顎的な軽度の歯周病の進行、左下には歯根の著しい吸収を認める乳歯も残っています。引き続き医療面接、う蝕や歯周病の詳しい検査を進め、治療方針についてカウンセリングを行った結果、患者様は顎関節の不調も感じており、インプラントや矯正を含めた全顎的な咬合治療を行っていくことになりました。
症例2. 矯正治療を含めた咬合治療
| 術前 |
|---|
![]() |
| 術後 |
|---|
![]() |
年齢:33歳
主訴:前歯の黒ずみがきになる。奥歯に穴が開いている気がする。
初診時の診断と治療方針
医療面接、レントゲンや写真より、歯並びの問題と将来的に噛み合わせから顎関節症状がでてくる恐れがあると診断できました。そのため、矯正治療を含めた咬合治療をしていくことになりました。
症例3. 抜歯を含めた総合的な咬合治療
| 術前 |
|---|
![]() |
| 術後 |
|---|
![]() |
年齢:73歳
主訴:全体的に見て欲しい。特に前歯がグラグラで見た目が悪い。
初診時の診断と治療方針
初診時の状態です。前歯の見た目が悪いのはもちろんですが、歯を損失してしまっているのに加え、ご自身の歯も歯周病に罹患しているため揺れてしまっており硬い物などはあまり噛めない状態です。つまり、審美面、咬合(噛み合わせ)、歯周病、齲蝕(虫歯)、適合の悪い被せものの治療が必要で抜歯を含めて総合的に治療をしていく必要性があります。
症例4. 噛み合わせの高さをあげた
咬合治療
| 術前 |
|---|
![]() |
| 術後 |
|---|
![]() |
年齢:40代
主訴:あごまわりにいたみがある
初診時の診断と治療方針
噛み合わせ治療の実際はこの図にあるように咬合挙上(噛み合わせの高さをあげる)ことがほとんどです。咬合挙上とともに咬合治療を行った症例です。
マウスピース(2つ作成)にて正しい噛み合わせの位置の確認、習慣化。診査診断しました。
治療完了時には、初診時にあった顎の痛みは、消失し頭痛、肩こり等もなくなったそうです。
症例5. 保険内での咬合挙上治療
| 術前 |
|---|
![]() |
| 術後 |
|---|
![]() |
年齢:40代
主訴:耳まわりが痛い。口が開かない。
開くときに音がする
治療方針
2ヶ月間でマウスピースの微調整及び正しい噛み合わせの位置を模索していき、マウスピースで得た正しい噛み合わせを仮歯にて口腔内で再現します。最後に症状が消失したのを確認して最終的な被せ物治療に移行します。
治療完了時には、初診時にあった顎の痛みは、消失し頭痛、肩こり等もなくなったそうです。
症例6. インプラントを使って
天然歯を保護した症例
| 術前 |
|---|
![]() |
| 術後 |
|---|
![]() |
主訴:顎の痛み、噛めない
治療方針
噛み合わせの負担は骨に埋まっている歯根(歯の根)によって行われます。
今回のように歯を失ってしまった場合、インプラントとよばれる人工歯根によって、ご自身の歯にかかっている過剰な力を排除することによって残されたご自身の歯の寿命を延ばしていきます。
症例7. 噛み合わせと審美を改善した症例
| 術前 |
|---|
![]() |
| 術後 |
|---|
![]() |
主訴:どこで噛めばいいかが分からず、噛み合わせの違和感がある
治療方針
患者様の主訴は「他院にて仮歯を作成してから噛み合わせが分からなくなった。」とのことでした。口腔内には仮歯や不適合な被せものが入っており、全体的な治療が必要となりました。
症例8. 被せ物で咬合挙上した症例
| 術前 |
|---|
![]() ![]() |
| 術後 |
|---|
![]() |
主訴:顎が疲れる
治療方針
マウスピースにて正しい噛み合わせの位置を確認し、習慣化したのち、咬合口腔内反映を行ないました。
症例9. 被せ物で咬合挙上した症例
| 術前 |
|---|
![]() ![]() |
| 術後 |
|---|
![]() |
主訴:歯が常に当たって痛い、噛む位置が分からない
治療方針
マウスピースを使って正しい噛み合わせを確認し、習慣化させるための診査診断が行われます。口腔内反映とは、マウスピースを装着した状態での正しい噛み合わせを意味し、マウスピースを外すと元の悪い噛み合わせに戻ってしまいます。そこで、仮歯や仮の詰め物を使用して噛み合わせを調整し、マウスピースを外しても正しい位置で噛み合うようにします。
最終的な補綴物として、セラミックやジルコニアなどの素材で被せ物を製作し、治療を完了させます。
症例10. インプラントや矯正を含めた全顎的な咬合治療
| 術前 |
|---|
![]() |
| 術後 |
|---|
![]() |
年齢:36歳
主訴:歯が痛い
初診時の診断と治療方針
初診時の口腔内写真です。主訴の歯の痛みは、斜めに生え噛む面が虫歯になっている右下親知らずであることが分かります。また、その他の部位にも多くの修復物や歯列の乱配を認め、う蝕と歯周病共にリスクが高いことが考えられます。
さらに、歯列の乱配だけでなく傾斜、はまり込みを認めます。 X線写真では全顎的な軽度の歯周病の進行、左下には歯根の著しい吸収を認める乳歯も残っています。引き続き医療面接、う蝕や歯周病の詳しい検査を進め、治療方針についてカウンセリングを行った結果、患者様は顎関節の不調も感じており、インプラントや矯正を含めた全顎的な咬合治療を行っていくことになりました。
症例11. マウスピースと矯正を含めた
全顎的な咬合治療
| 術前 |
|---|
![]() |
| 術後 |
|---|
![]() |
主訴:関節が痛い。音が鳴る
初診時の診断と治療方針
関節が痛い、音が鳴るを主訴に来医院された患者様です。診査診断の結果マウスピースにて正しい噛み合わせの位置に慣らし、症状を軽減させその後マウスピース治療で試していた位置に噛み合わせの位置を変更、これで顎の症状はなくなるが、前歯で噛みづらい状況なので、歯列矯正を行いました。
症例12. 矯正治療を含めて
咬合挙上した症例
| 年齢・性別 | 60代・女性 |
|---|---|
| 主訴 | 噛み合わせの位置が分からない |
| 費用 | 総額:205万円+保険費用 内訳 ①咬合基本治療:保険別途15万円(CT等診断、外注仮歯、保険外マウスピース) ②矯正:90万円 ③補綴(かぶせもの、詰め物)9本:100万円 |
| 期間 | 約3年 |
| 治療へのリスク | マウスピースや矯正、補綴の期間や方法、本数は症状やケースによって異なる |
| 治療前 | 治療後 |
|---|---|
![]() |
![]() |
症例13. 矯正治療を用いて
歯列矯正した症例
| 年齢・性別 | 30代・男性 |
|---|---|
| 主訴 | 歯並びを治したい |
| 費用 | 総額:58万円 内訳 ①矯正診断料・模型作成:3万円 ②矯正費用(調整料込み):55万円 |
| 期間 | 約1.5年 |
| 治療へのリスク | 矯正の期間や方法はケースによって異なる |
| 治療前 | 治療後 |
|---|---|
![]() |
![]() |
症例14. 矯正治療を含めて咬合挙上した症例
| 術前 |
|---|
![]() |
| 術後 |
|---|
![]() |
年齢:60代・女性
主訴:噛み合わせの位置が分からない。
症例15. 矯正治療を用いて歯列矯正した症例
| 術前 |
|---|
![]() |
| 術後 |
|---|
![]() |
年齢:30代・男性
主訴:歯並びを治したい。
症例16. 矯正治療を含めて咬合挙上した症例
| 術前 |
|---|
![]() |
| 術後 |
|---|
![]() |
年齢:50代・女性
主訴:顎が痛い、疲れる
症例17. 被せ物で咬合挙上した症例
| 術前 |
|---|
![]() |
| 術後 |
|---|
![]() |
年齢:50代・女性
主訴:顎が痛い、疲れる
症例18. 被せ物で咬合挙上した症例
| 術前 |
|---|
![]() |
| 術後 |
|---|
![]() |
年齢:20代・女性
主訴:顎が痛い、疲れる
症例19. スプリントとインプラントで
補綴治療をした症例
| 術前 |
|---|
![]() |
| 術後 |
|---|
![]() |
主訴:噛み合わせが悪い
症例20. スプリントとインプラントで
補綴治療をした症例
| 術前 | 術後 |
|---|---|
![]() |
![]() |
主訴:噛み合わせが悪い
症例21. スプリントとインプラントで
補綴治療をした症例
| 術前 | 術後 |
|---|---|
![]() |
![]() |
主訴:噛み合わせが悪い
症例22. スプリントで補綴治療をした
症例
| 術前 | 術後 |
|---|---|
![]() |
![]() |
主訴:噛み合わせが悪い
症例23. スプリントで補綴治療をした
症例
| 術前 |
|---|
![]() |
| 術後 |
|---|
![]() |
主訴:噛み合わせが悪い



















































電話する
初診専用