噛み合わせ治療の症例14
矯正治療を含めて咬合挙上した症例
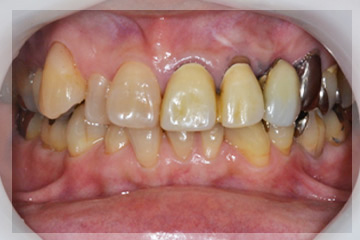
初診時
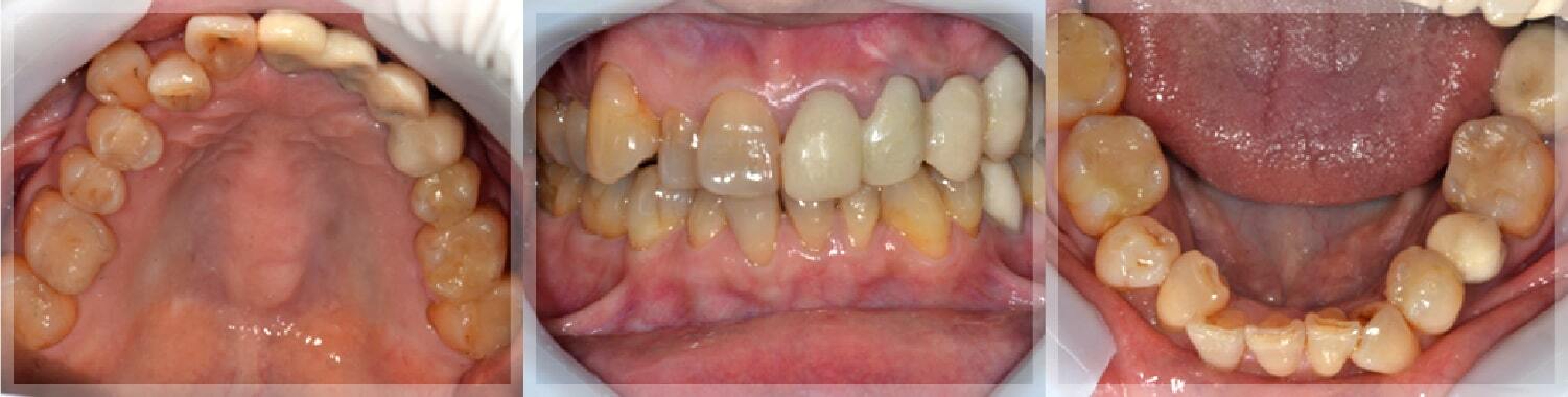
治療完了時
矯正治療を含めて咬合挙上した症例
| 年齢・性別 | 50代・女性 |
|---|---|
| 主訴 | 顎が痛い、疲れる。 |
| 治療期間 | 約3年 |
| 費用 | 総額:130万円+保険費用 |
| 治療へのリスク | マウスピースや矯正、補綴の期間や方法、本数は症状やケースによって |
治療手順
① 咬合基本治療:3ヶ月
マウスピース(2つ作成)にて正しい噛み合わせの位置の確認、習慣化。診査診断。
② 咬合口腔内反映:1ヶ月
口腔内反映とは、マウスピースにて得た正しい噛み合わせはマウスピースを装着した状態でのものであり、マウスピースを外すと元の悪い噛み合わせに戻ってしまいます。
マウスピースを外しても正しい位置で噛み合うように仮歯、仮の詰め物にて噛み合わせを調整します。
この作業を口腔内反映と呼びます。
③ 矯正:2年
口腔内反映作業によって奥歯では噛めるようになりますが前歯はまだ噛めません。
前歯を噛めるように矯正治療を開始。
補綴(被せ物)治療の際にご自身の歯の切削量軽減のための矯正。



④ 最終補綴:2ヶ月
仮の被せ物、詰め物で被せていたものを最終的な補綴物に変更。
(セラミック及び保険適用金属にて治療)


治療結果
マウスピースを使い出して2週間で主訴は改善し、その後噛み合わせも安定しています






電話する
初診専用