矯正歯科
見た目も美しく噛める
綺麗な歯並び

綺麗な歯並びは、審美面だけでなく身体の健康面にも大きく影響します。
皆様は『矯正』というと、どんなイメージを持たれますか?
「見た目が悪い」「費用がかかる」「時間がかかる」
確かにそうかもしれません。。。しかし、当院では矯正をお勧めします。何故かというと、矯正後のメリットが非常に大きいからです。マウスピース型の矯正や部分矯正など、様々な矯正処置があります。大人になってからでも遅くありません!!
歯並びは、口もとのバランスにも 大きく関わってきます。 綺麗な歯並びは、口もとのバランスを良くしてくれます。
矯正のメリット
- 前歯の並びが良くなるので審美的になります。
- 並びが良くなると清掃性が向上します。
- 清掃性が上がると必然的に虫歯や歯周病の予防になります。
- 咬み合わせが良くなるので食べ物が噛み切りやすく噛み砕きやすくなります。

リテーナー
歯並びと咬み合わせを整えた後に使用する装置です。歯の移動が終了した後も、歯の周りの骨はしっかり詰まっている訳ではないので、不安定な状態です。 また、歯と歯茎を結んでいる繊維の形は簡単には変わらない為、新しい歯の位置から、もともとあった位置に引き戻す力を歯に加えています。 その為せっかく移動した歯が戻らないように、落ち着いてくるまでは、リテーナーを使い、正しい位置に歯を固定しておく必要があるのです。
矯正中のブラッシング
矯正装置がついている間は、普段の歯ブラシだけでは清掃が困難になります。 せっかく良い歯並びを目指して矯正しているのに、虫歯が出来てしまったりしては困りますよね。その為、衛生士によるブラッシング指導や、歯間ブラシ・歯ブラシ各種を受付で販売もしております。
もちろん矯正をしていない方でも、興味がございましたら、いつでもお気軽にお声をかけてください。
歯の動くメカニズム
- 歯と顎の骨の間には、“歯根膜” と呼ばれる歯根を包むクッションのような膜が存在しています。
- 歯を移動させるために矯正力を歯に加えると、 歯根膜を介して歯を支える周囲の骨に圧迫を受ける部分と引っ張られる部分が生じます。
矯正後の後戻りに関して
治療のリスクとして、矯正装置除去後に後戻りすることがあります。保定装置を決められた期間確実に装着することなど、定期的検診が必要です。ですので、ワイヤー矯正およびマウスピース矯正治療後の後戻りを防止するため、マウスピースの装着をお願いしております。
矯正の種類
① モダン矯正
ブラケットという小さな金属とワイヤーを用いた矯正です。ブラケットは、白い材質のものもご用意しておりますが、
見える部分に装置をつけるので、審美面では、あまり良くありません。
期間/特徴
1〜2年/器具が見える/全体に装置をつけるので、違和感が大きい
| メタル ブラケット |
プラスチック ブラケット |
|---|---|
![]() |
![]() |
② 部分矯正
全体的に、ではなく前歯の歯並びだけを治したい、ちょっとした前歯のデコボコや隙間を治したい、といった方には、部分矯正をお勧めしています。場合によっては2~3本の歯だけの部分矯正で、劇的に奇麗になることもあります。
部分矯正は全体的に行う矯正治療よりも短い期間で、費用も安く行うことができます。お気軽にご相談下さい。
③ MTM(小矯正)
MTMとは『Minor Tooth Movement』の直訳で、歯の小移動のことです。矯正は、すべての歯を動かして良い咬み合わせを作るのに対し、MTMは、1~2本の歯の矯正です。本来では抜かなければいけない歯を最大限生かして、出来るだけ長く使うためのものでもあります。
期間/特徴
4ヶ月~1年/装置が小さいので、見た目は気にならない/引っ張り出す/傾いた歯をまっすぐ起こす/移動/回転/引っ込める
④ アソアライナー
透明なマウスピースを使った審美的な矯正方法です。装置をつけている時だけ矯正力が加わるので、食事の時・歯を磨くとき・会話の時などには違和感がありません。
期間/特徴
約1年/装置を付けている時しか違和感を感じない/装着時間を患者様に委ねる為、治療期間が長くなる場合もある
アソアライナーのメリットデメリット
| メリット |
|
|---|---|
| デメリット |
|
※透明のマウスピース型の矯正装置は、他にもいくつがありますが、毎回型を取ることで、 その時の状態により合ったマウスピースを作製出来る為、当院では、アソアライナーを使用しております。
⑤ インプラント矯正
:治療期間 症例により
インプラント矯正とは通常の矯正と違い固定源をインプラントにかける方法です。
インプラント矯正の
メリットデメリット
| メリット |
|
|---|---|
| デメリット |
|
矯正治療の流れ
① 診断・検査
5枚法という歯の正面・側面・咬合面の写真、セファロ写真、パノラマ写真を撮らせていただく方法を用いたり、歯の型を取らせていただいて、模型を作製します。

② カウンセリング
①の資料を基に、患者様それぞれに合った矯正治療を行う為、治療内容の説明・期間・費用・矯正におけるリスクなどをお話させていただきます。

③ 治療開始
カウンセリングで同意をしていただいてから治療を開始いたします。もちろん、治療中も何かございましたら、お気軽にご相談ください。

④ 保定
リテ―ナーという装置を使って歯の「後戻り」をふせぎます。

矯正歯科の料金
| 審美矯正-上下 | 1,100,000円~ | 部分矯正 | 55,000円~ |
|---|---|---|---|
| 裏側矯正-片顎 | 990,000円 | 裏側矯正-全顎 | 1,210,000円 |
| 裏側矯正 診査代 | 3,850円〜 | マウスピース矯正 施術代-片顎 |
440,000円~ |
| マウスピース矯正 診査代 | 33,000円 | 調整料 (毎回) ※回数は 症例により異なります |
5,500円 |
| リテーナー(保定装置) | 11,000円~ |
※全て税込みとなります
矯正歯科の症例集
症例.1 モダン矯正
| 術前 | 術後 |
|---|---|
![]() |
![]() |
症例.2 モダン矯正 (治療期間:約8ヶ月)
| 術前 | 術後 |
|---|---|
![]() |
![]() |
症例.3 モダン矯正 (治療期間:約6ヶ月)
| 術前 | 術後 |
|---|---|
![]() |
![]() |
症例.4 部分矯正
| 術前 | 術後 |
|---|---|
![]() |
![]() |
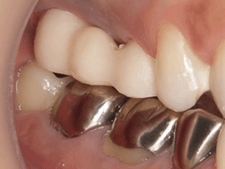
症例.5 健康な歯を引っ張り出す
![]() |
![]() |
| 虫歯で歯が少ない状態です。 歯と歯茎の境目が不明瞭です。 |
ゴムの力を使って歯を歯茎より上に引っ張ります。 |
![]() |
![]() |
| 健康な歯が歯茎から顔を出しました。 | 精度の高い被せ物が入れられました。 |
症例.6 傾いた歯をまっすぐ起こす
![]() |
![]() |
|
| 赤矢印の方向に咬む力が加わると 白矢印部分の骨が吸収していきます。 |
装置を入れました。 比較的小さな装置です。 |
|
![]() |
![]() |
|
| 矯正により正しい方向に力を加えられるようになりました。 | ||
![]() |
![]() |
|
| 虫歯が大きくこのままではうまく被せられません。 | 矯正により歯を引っ張りあげます。 | |
![]() |
![]() |
|
| 歯の周りに丈夫で健康的な歯茎が認められます。 | 綺麗に被さりました。 | |
症例.7 アソアライナー (治療期間:約1年)
治療に伴うリスク
矯正装置除去後に後戻りすることがあります。保定装置を決められた期間確実に装着することなど、定期的検診が必要です。




























電話する
初診専用