噛み合わせ治療の症例13
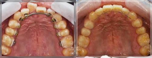
矯正治療を含めて咬合挙上した症例
初診時
治療完了時
矯正治療を含めて咬合挙上した症例
| 年齢・性別 | 30代・男性 |
|---|---|
| 主訴 | 歯並びを治したい。 |
| 治療期間 | 約1.5年 |
| 費用 | 総額:58万円 |
| 治療へのリスク | 矯正の期間や方法はケースによって異なります。 |
治療手順
① 診断
上の歯列の型取り等資料採得を行い、診断します。
② 矯正治療:約1.5年
月に約2度の調整で進んでいき、治療後には固定用のワイヤーを歯の裏に着けます。
治療結果
噛み合わせが安定し、しっかり食事が出来るようになっています。






電話する
初診専用