噛み合わせ治療の症例8
矯正治療を含めて
咬合挙上した症例
基本情報
| 年齢・性別 | 60代・女性 |
|---|---|
| 主訴 | 噛み合わせの位置が分からない |
| 費用 | 総額:205万円+保険費用 内訳 ①咬合基本治療:保険別途15万円(CT等診断、外注仮歯、保険外マウスピース) ②矯正:90万円 ③補綴(かぶせもの、詰め物)9本:100万円 |
| 期間 | 約3年 |
| 治療へのリスク | マウスピースや矯正、補綴の期間や方法、本数は症状やケースによって異なる |
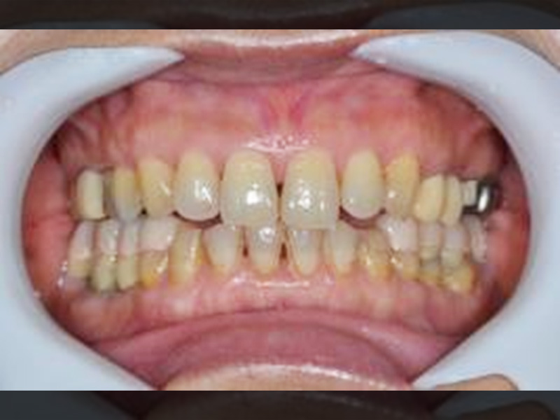
治療前後写真
| 治療前 | 治療後 |
|---|---|
![]() |
![]() |
治療前の口腔内写真
治療後の口腔内写真
治療手順
① 咬合基本治療:3ヶ月
マウスピース(2つ作成)にて正しい噛み合わせの位置の確認て、習慣化します。診査診断も行います。
② 咬合口腔内反映:1ヶ月
口腔内反映とは、マウスピースにて得た正しい噛み合わせはマウスピースを装着した状態でのものであり、マウスピースを外すと元の悪い噛み合わせに戻ってしまいます。
マウスピースを外しても正しい位置で噛み合うように仮歯、仮の詰め物にて噛み合わせを調整します。この作業を口腔内反映と呼びます。
| 口腔内反映写真① | 口腔内反映写真② |
|---|---|
![]() |
![]() |
③ 矯正:2年
口腔内反映作業によって奥歯では噛めるようになりますが前歯はまだ噛めません。前歯を噛めるように矯正治療を開始。
補綴(被せ物)治療の際にご自身の歯の切削量軽減のための矯正です。
| 矯正前 | 矯正後 |
|---|---|
![]() |
![]() |
④ 最終補綴:2ヶ月
仮の被せ物、詰め物で被せていたものを最終的な補綴物に変更します。(セラミック及び保険適用金属にて治療)
| 上顎の補綴 | 下顎補綴 |
|---|---|
![]() |
![]() |
治療結果
噛み合わせが安定し、しっかり食事が出来るようになっています。














電話する
初診専用